Записатися на прийом

Час роботи
Пн - сб 08:00-19:00
Неділя 08:00-16:00

Ортодонт – Ціни виправлення прикусу в Дніпрі

Лікар ортодонт в Дніпрі

Виправлення прикусу зубів брекетами, капами, пластинками, у дітей і дорослих у недорогого ортодонта, дитяча стоматологія на

Стоматолог Лівій берег

  1. Стоматологія лівий берег;
  2. поруч Слобожанське, Лівий берег і Правий;
  3. зручно для мешканців Підгороднего, Чумакі, Степове. 

Практично кожне місто України має багато дорослих і дітей (підлітків), які потребують консультації лікаря ортодонта, гарного спеціаліста для виправлення прикусу у стоматології.

Ортодонт - ціни виправлення прикусу в Дніпрі

Вид послугиЦіна, в гривнях
Консультація ортодонтабезкоштовно
Корекція лікування у ортодонтавiд 450 до 990
Незнімний ортодонтичний ретейнер855
Приготування плану лікування ортодонтомбезкоштовно
Ортодонтичний трейнер4480

Консультація хорошого дитячого ортодонта в Дніпрі

У багатьох центрах дитячої стоматології є можливість потрапити на прийом до кращого ортодонта, на консультацію з вирівнювання зубів:

  • брекетами;
  • трейнерами;
  • елайнерами;
  • пластинками.

Тому правильний вибір професійної та прийнятною за вартістю послуги хорошого лікаря ортодонта в Дніпрі досить складний.

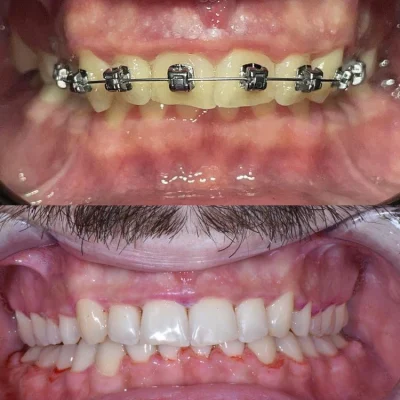
Фото. До та після виправлення прикусу у дитячого ортодонта у клініці БрамаДент.
ortodont-2-a

Хороший ортодонт у Дніпрі повинен мати:

  1. високу кваліфікацію з дитячої ортодонтії;
  2. досвід роботи;
  3. обов’язкові стажування в кращих зарубіжних центрах дитячої стоматології;
  4. також хороші ортодонти повинні мати позитивні відгуки пацієнтів;
  5. важливе значення мають ціни ортодонта на перший візит і послуги корекції змикання зубів.

Недорого та якісно виправити нерівні зуби у дорослого чи дитини – це непросте завдання для дитячої стоматології.

Потрібно докласти чимало зусиль з пошуку кращого за якістю та ціною дорослого або дитячого ортодонта на:

  • лівому березі
  • Підгороднем
  • Проспекті Слобожанськом.

Який рентген потрібен для консультації ортодонта?

  • Також не останнє значення при виборі хорошого лікаря має наявність в дитячій стоматології власного відділення цифрової рентгенологічної діагностики;
  • На первинній консультації фахівцеві обов’язково необхідні дані рентгенівського обстеження пацієнта – панорамний знімок щелеп (ортопантомограма) або комп’ютерна томографія (КТ зубів),
  • Для правильного планування лікування у ортодонта в дитячій стоматології – потрібен ТРГ знімок. Кожній дитині з неправильним прикусом та її лікарю ортодонту – необхідне обстеження, яке називається телерентгенографією;
  • В результаті цього обстеження отримують знімок – телерентгенограму, яка допомагає дитячому ортодонту оцінити співвідношення розмірів щелепних кісток дитини між собою, і коректно спланувати основні вектори прикладання сили у майбутніх ортодонтичних апаратів і пристроїв;
  • Всі перераховані дослідження для консультації ортодонта стоматолога – ортопантомограму, комп’ютерну томограму, телерентгенограму – Ви зможете зробити у центрах діагностики на правому чи лівому березі.

Поради - як вибрати хорошого ортодонта в Дніпрі

Можемо дати Вам декілька порад – як бути впевненим у правильності вибору кращого ортодонта:

  • Хороший ортодонт стоматолог повинен мати великий стаж по встановленню брекетів різних видів. Запитайте про наявність сертифікатів та відвідування стоматологом курсів по встановленню і використанню брекетних систем;
  • Хороший ортодонт зобов’язаний володіти всіма сучасними технологіями стоматології в цій сфері, такими як вирівнювання зубів без брекетів прозорими капами Easy Align, Invisalign. Це сучасні і дуже естетичні технології в лікуванні прикусу. Капи дорожчі по вартості виправлення прикусу брекетами у дітей і дорослих, але зате лікар нічого не буде клеїти Вам на зуби. Переносимість таких кап на зубах набагато легка. Зовнішній вигляд усмішки абсолютно не страждає, як і догляд за порожниною рота, і вимова. Про ці технології, що використовуються в стоматології БрамаДент, можна прочитати в розділі елайнери, ціна за посиланням;
  • На консультації хороший дитячий ортодонт не повинен мотивувати Вас тільки на найдорожчу систему лікування. Кращий ортодонт повинен враховувати Ваші матеріальні можливості, пропонуючи Вам краще співвідношення ціна – якість;
  • Професійний дитячий ортодонт обовязково Вас попередит, що на етапі, коли всі зуби вже поставлені в правильне положення – Ваші відвідування стоматології і робота не закінчуються. Після зняття брекетів, прозорих кап або ортодонтичних пластинок – хороший лікар завжди виготовит і встановит знімний або незнімний ретейнер – пристрій, який буде утримувати зуби в новому положенні, і не давати їм відсунутися назад в колишнє розташування. На жаль, якщо лікар ортодонт не поставить ретейнер – таке трапляється практично у всіх випадках корекції неправильного змикання;
  • Не пошкодуйте часу почитати відгуки про ортодонта в Дніпрі на незалежних стоматологічних порталах;
  • Обов’язково поцікавтеся прикладами робіт лікаря ортодонта. В поважаючих себе і маючих хорошу репутацію клініках стоматології – на їх сайті є розділ фото робіт стоматологів ортодонтів до і після лікування. Також в кліниці зобов’язані за Вашою вимогою надати всі сертифікати і фотографії прикладів робіт дитячого ортодонта.
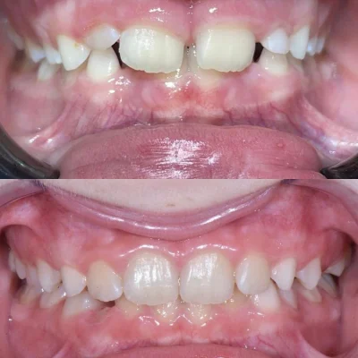
Фото до і після виправлення прикусу в стоматології Брамадент.

Консультація лікаря ортодонта - технології

клініка дитячої стоматології Брамадент пропонує недорого наступні види методик вирівнювання зубів у дітей (підлітків) і дорослих:

  • Знімні апарати-ортодонтичні пластинки;
  • Брекети;
  • Коригуючі капи Easy Align – ефективне вирівнювання зубів капами;
  • Коригуючі капи Інвізілайн – за технологією аналогічні Easy Align;
  • Знімні трейнери.
Красива усмішка - це не тільки запорука відмінного здоров'я, а й кар'єри, гідної самооцінки, уваги, поваги оточуючих.

У нас Ви можете знайти хорошого лікаря ортодонта – фахівця з вирівнювання зубів.

Фото. Виправлення прикусу у дитячій ортодонтії БрамаДент. До та після лікування.

Навіщо потрібно виправлення прикусу ортодонтом?

Правильний прикус, гарна усмішка – це одна з основ щасливого особистого життя. Раніше існувала думка, що неправильне і нерівне положення зубів можна виправити недорого тільки в молодому віці.

Сьогодні технології стоматологів ортодонтів в сучасних центрах стоматології, навіть в самих занедбаних випадках, дозволяють провести швидке і якісне виправлення прикусу у дорослих і дітей.

Скільки коштує консультація ортодонта (Дніпро)?

Консультація лікаря ортодонта в стоматології БрамаДент по вирівнюванню зубів безкоштовна!

Ціна лікування у ортодонта для дорослих і дітей

  • Ціни послуг хорошого дорослого та дитячого лікаря ортодонта у Дніпрі в ортодонтії Люмідент доступні всім;
  • Ви можете побачити вартість послуг найкращих ортодонтів у розділі “Стоматологія ціни“;
  • Всі перераховані ціни на послуги в стоматології Брамадент актуальні на 2023 рік.
 Приклад роботи лікаря ортодонта Мирошниченко Н.М.

Відгуки про кращих ортодонтів дніпра

  • Текстові та відеовідгуки відвідувачів про стоматологів мережі клінік стоматології БрамаДент доступні на сторінці “Відгуки стоматології“;
  • Так як текстовим відгуками зараз довіряють мало – ми записали багато відео відгуків про ортодонтів наших реальних пацієнтів;
  • У відгуках пацієнти діляться думкою про клініки стоматології БрамаДент і наших стоматологів ортодонтів, дитячих і дорослих.

Чому в БрамаДент консультація хороших ортодонтів?

Кращі ортодонти проходять досить довгу спеціалізацію по виправленню прикусу після закінчення медичного університету.

Робота з дітьми також вимагає від недорогого ортодонта тривалої підготовки по психології дитячого віку.

Хороші ортодонти - фахівці з виправлення неправильного прикусу, що працюють в наших клініках - тривалий час проводять на курсах, практикумах, семінарах в Україні, і за її межами.

Наші лікарі ортодонти (Лівий берег) та інших локаціях – вивчають багато іноземної літератури, щоб бути в курсі найновіших ортодонтичних технологій щодо виправлення неправильного прикусу.

Наші лікарі багато часу проводять в консиліумах з фахівцями інших напрямків стоматології та лор лікарями, по кожному конкретному випадку.

Адже будь-яке порушення прикусу зубів – це поєднана проблема, яка потребує уваги та втручання лікарів стоматологів інших спеціалізацій:

  • за відгуками найкращих дитячих ортодонтів;
  • терапевтів;
  • хірургів;
  • протезистів;
  • гнатологів;
  • остеопатів;
  • рентгенологів.
Прокрутка до верху